Московские врачи спасли выпавшего с четвертого этажа мужчину

К. Ерамишанцева спасли мужчину, который упал с четвертого этажа. Об этом сообщила пресс-служба столичного Департамента здравоохранения.
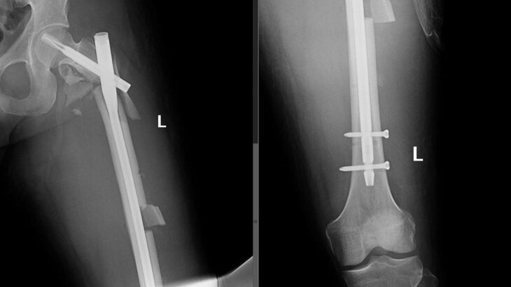
28-летний мужчина случайно выпал из окна своей квартиры. Прохожие вызвали скорую помощь. Пострадавшего доставили в медицинское учреждение с множественными травмами: переломами позвонков, открытыми переломами ребер и костей левого предплечья, закрытыми переломами таза и левой бедренной кости с повреждением бедренной артерии, а также другими повреждениями. Для его лечения потребовалась операция, в которой участвовали специалисты разных профилей.
В больнице отметили, что состояние пациента осложнялось множественными диагнозами, включая полиорганную недостаточность, рабдомиолиз, тромбоцитопению, сердечную недостаточность и жировую эмболию в нижнедолевой артерии правого легкого.
Врачи сумели спасти ногу пациента от ампутации и устранить последствия переломов и травм. После успешной реабилитации мужчину вскоре планируют выписать.
Ранее в Москве врачи успешно провели операцию на сердце 80-летней пациентке через прокол в бедре. Им пришлось заменить биопротезы, установленные несколько лет назад в трикуспидальном и митральном клапанах. От традиционной открытой операции отказались из-за возраста пациентки.