Подмосковные врачи спасли подростка с тяжелой травмой руки

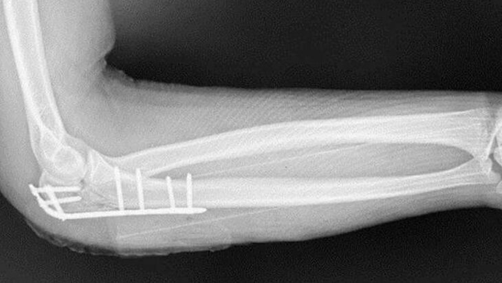
М. Рошаля, спасли 17-летнего подростка, у которого был обнаружен сложный перелом локтевого сустава. Об этом сообщает телеканал "360" со ссылкой на пресс-службу Министерства здравоохранения Подмосковья.
По информации ведомства, юноша получил травму на горнолыжном курорте в Сочи. Ему была оказана первая помощь, наложен гипс, и ему было рекомендовано обратиться к специалистам. После осмотра подростка подмосковные медики приняли решение провести операцию.
Врачи провели процедуру репозиции, соединив все костные отломки и зафиксировав их в правильном положении с помощью металлической пластины в течение двух часов.
В настоящее время подросток уже выписан домой. Через полгода ему будет удалена пластина, и он сможет свободно двигать рукой.
Ранее врачи Долгопрудненской больницы спасли 42-летнюю женщину, у которой в носу застрял кусок угля. Пациентка испытывала затруднения с дыханием, а также страдала от обильных выделений из носа и неприятного запаха.
В результате врачи провели операцию и постепенно извлекли уголь. Сама женщина не могла вспомнить, как предмет попал в ее нос. В настоящее время пациентка чувствует себя хорошо и направлена на амбулаторное лечение.
За два года флагманский центр НИИ имени Склифосовского принял более 120 тысяч пациентов.