В Москве врачи спасли женщину с гигантским "шаром" в шее, перекрывающим дыхание

10.10.2025 11:15
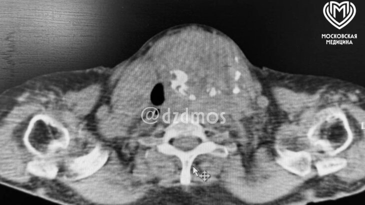
У женщины было избыточное содержание углекислого газа в крови (в три раза выше нормы). Врачи провели сложную операцию по удалению щитовидной железы, используя уникальную методику интубации пациента в сознании с помощью фиброскопа. Операция заняла менее двух часов, после чего пациентка почувствовала себя лучше, начала дышать самостоятельно и проходит реабилитацию. Ранее было сообщено, что врачи в Подмосковье успешно провели операцию по удалению атеромы у пенсионерки. После этой операции пациентка призналась, что сожалеет, что не обратилась к хирургам раньше.